Seguimos el mismo modelo que el empleado en la entrada que titulamos "Un día en la consulta", es decir, dejamos las radiografías y esperamos vuestra respuestas en la sección de comentarios.
1.- En esta ocasión, una imagen vale más que mil palabras.
2.- Varón de 21 años, acude al SUH por clínica desde hace 24 horas de dolor abdominal, inicialmente periumbilical, con posterior irradiación hacia FID, acompañado en las últimas horas de fiebre y afectación del estado general.
EF: Tª: 37,8 ºC; abdomen doloroso a la palpación en FID, signos irritativos.
El diagnóstico es lo que parece, pero os dejamos la radiografía simple de abdomen que se le realizó para que nos deis vuestra opinión sobre ella.
Las respuestas en una semana.
Silvia Carbajo Azabal (MFyC Servicio de Urgencias Hospital de Cruces Bilbao).
Mª del Mar Sánchez Gómez (MFyC C.S Valterra).
Raúl Soriano Carceller (MFyC C.S Tías).


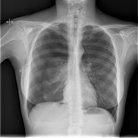
1)neumotorax
ResponderEliminar2)apendicitis aguda.Apendicolito
Buenas tardes. Estoy de acuerdo con el compañero, y además:
ResponderEliminar1) Neumotórax + Enfisema subcutáneo.
2) Apendicitis aguda. Fecalito apendicular.
Un saludo, Cami
*Nota caso 1:
ResponderEliminarBueno, respecto a este caso mencionar el origen traumático como causa probable (fractura clavicular y de la 8º costilla derecha, si no cuento mal, jeje!).
Aumentando la imagen se observa además línea de neumotórax izquierdo, que en un primer momento había pasado por alto.
Felicidades por la iniciativa!
Un saludo, Cami.
Enhorabuena por animaros a participar y por la lectura de la radiografías.
ResponderEliminarPor aclarar alguna duda, decir que el paciente acudió al Servicio de Urgencias por dolor en hemitórax derecho, de aparición brusca y sin referir historia de antecedente traumático.
Hola compañeros:
ResponderEliminarMe ha llamado la atención la coincidencia de los casos: vuestra imagen de la Rx Torax: neumotórax dcho + enfisema subcutaneo y la del caso expuesto en URGENCIAS BIDASOA: neumotórax en varón de 71 años (espontaneo pero secundario a enfermedad pulmonar).
Está bien la aclaración de Silvia Carabajo: sin antecedente traumático.
Recuerdo hace un par de años haber atendido a una mujer joven con neumotórax etiquetado posteriormente de CATAMENIAL 2º a ENDOMETRIOSIS.
Saludos desde el Bidasoa. Josu Abecia.
Hola Josu. Lo primero agradecerte tú participación. Como ya te habrás dado cuenta, seguimos con frecuencia tú blog, y en alguna entrada nos hemos apoyado en él y lo hemos recomendado.
ResponderEliminarEspero que cuando dices que te llama la atención la coincidencia de los casos no estés molesto por ello.
Era una entrada programada hace días (en espera de recuperar la actividad normal los residentes).
Un saludo.
Raúl Soriano.
1.- Neumotórax derecho + enfisema subcutáneo (por lo que dice Silvia seguramente espontáneo).
ResponderEliminar2.- Apendicolito en paciente con apendicitis aguda.